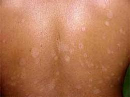
Melanin production for your skin protection deficiency, stress, deficiency of vitamin B12, thyroid problem, liver problems, after effects of some diseases which causes anemia or lower HB level, side effects of any medication which disturb or decrease melanin production and direct exposure to sun rays are the main causes of white patches on the skin without itching. This type of patches can notice on different body parts such as back, face, scalp, hands, feet, arms, legs, around the eyes and genital area. Natural home remedies and foods to solve this problem are more effective than medication.
1. Green Basil LeavesBest 7 Natural Treatments for White Patches on Skin
Make a smooth paste with green fresh basil leaves and apply this paste on affected area daily before 1 hour going to bed.
2. Neem Leaves with Honey
Daily take 1 cup boiled water of neem leaves with 1 teaspoon honey protect your skin and best treatment for any kind of skin problem. Application of neem leaves paste on affected area is best to get rid of these white patches.
3. Apple with Skin
Daily eating apples with skin is the best source of Vitamin B12 and application of apple peel paste on your skin is also good to treat white patches on skin naturally.
4. Yogurt with Turmeric
Make a thick paste with yogurt and turmeric. Apply this paste on affected area and leave it to dry than wash with boiled water of neem leaves. Best treatment for white patches on skin.
5. Tamarind (imli) Seeds with Olive Oil
Dry tamarind seeds in sun and make a powder. Make a paste with olive oil and powder of tamarind seeds powder. Apply this paste on affected area for 2-3 hours than wash with normal water but its better to wash with boiled water of neem leaves.
6. Ginger water with Aloe Vera Gel
Mix 1 teaspoon ginger water in 5-6 tablespoons of Aloe Vera gel and apply it on white patches area. Leave it to dry than wash with lukewarm water.
7. Fruits and Vegetables
Use of fresh fruits juice and vegetables like figs, watermelon, mango, pineapple, apricot, apple, banana, spinach, broccoli, cabbage, ginger, sweet potatoes and raw asparagus best to treat this problem from your inner body.
